Thursday, October 23, 2025

The University of Iowa Department of Ophthalmology’s photography team earned top honors at the 2025 Ophthalmic Photographer Society Scientific Exhibit contest, a prestigious international competition celebrating excellence in ophthalmic imaging. Their award-winning submissions reflect the team’s outstanding skill, creativity, and commitment to advancing the art and science of medical photography. These accomplishments not only showcase the exceptional work our photographers and clinical partners produce every day, but also create new opportunities for publication and professional recognition on a global stage.

Print Division

Fundus Photography, 30-40°

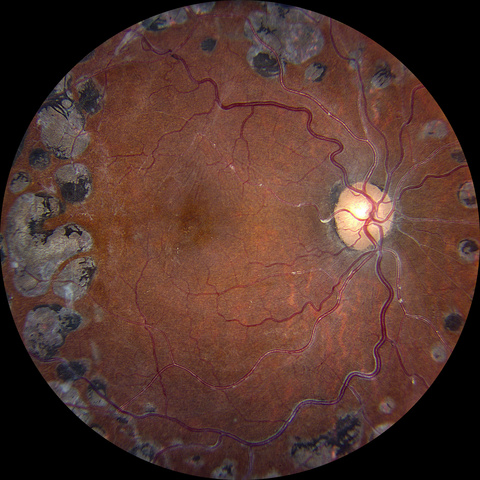
  • First Place – Dana Zach (Probable Neurosarcoidosis) 

    Probable Neurosarcoidosis

     

  • Third Place – Meghan Menzel, CRA (Diabetic Scars)

    Diabetic Scars

     

  • Honorable Mention – Meghan Menzel, CRA (Noodle Nerve)

    Noodle Nerve

 

Fundus Photography, 45°+

  • Second Place – Meghan Menzel, CRA (Choroidal Scar)
Choroidal Scar

 

  • Third Place – Meghan Menzel, CRA (Macular Atrophy)
Macular Atrophy

 

  • Honorable Mention – Jody Troyer, CRA (Fungal Infection)
Fungal Infection

 

Ultra-Widefield Imaging

  • Honorable Mention – Dana Zach (Retinal Detachment)
Retinal Detachment

 

Slit Lamp Photography

  • Second Place – Alexandra Copple, CRA (Ruptured Capsule)
Ruptured Capsule

 

  • Honorable mention – Jody Troyer, CRA (Conjunctival Cyst)
Conjunctival Cyst

 

  • Honorable Mention – Meghan Menzel, CRA (Lasik Flap)
Lasik Flap

 

 

Cross-Categories

  • Honorable mention – Jody Troyer, CRA (Extreme Trauma)
Extreme Trauma

 

OCT-Angiography

  • Honorable Mention – Jody Troyer, CRA (Stargardts)
Stargardts

 

Stereo Division

Slit Lamp Photography

  • First Place – Jody Troyer, CRA (Malignant Neoplasm of Conjunctiva)
Malignant Neoplasm of Conjunctiva

 

  • Second Place – Jody Troyer, CRA (Conjunctival Lesion)
Conjunctival Lesion

 

Fundus Photography

  • Third Place – Dana Zach (Compressive Optic Neuropathy)
Compressive Optic Neuropathy